rpyANTs was detached from a RAVE (Reproducible Analysis and Visualization of
iEEG) module. It is now a standalone package that
connects ANTsPy with R using seamless shared-memory.
This package was originally created for the following three purposes:
ANTs easily accessible from the latest R and all
major operating systemsRAVE or other code/scripts/frameworks to be
reproducible since the code will be OS-invariantrpyANTs takes less than 10 minutesANTsPy can be executed from
rpyANTs and R with no modificationDisclaimer: This is a third-party maintained R package for
ANTs. If you are looking for theANTsRpackage byB.B Avants, please check here.
The installation requires one-line extra setup
# Install from CRAN
install.packages("rpyANTs")
# Install from nightly dev builder
# install.packages("rpyANTs", repos = "https://dipterix.r-universe.dev")
# set up ANTs
rpyANTs::install_ants()install_ants creates an isolated Python
environment managed by RAVE. This environment does not
conflict nor affect your existing Python installations.
ANTsTo upgrade ANTs, first update rpyANTs, then
upgrade ANTsPyx
install.packages("rpyANTs")
rpymat::add_packages(packages = "antspyx", pip = TRUE)To load ANTs
library(rpyANTs)
# Whether ANTs is available
ants_available()
# Load ANTs into R
antsIn R, we use $ to get module functions or class members.
For example:
ants$add_noise_to_image
#> <ANTs Python Wrapper>
#> Help on function add_noise_to_image in module ants.ops.add_noise_to_image:
#>
#> add_noise_to_image(image, noise_model, noise_parameters)
#> Add noise to an image using additive Gaussian, salt-and-pepper,
#> shot, or speckle noise.
#>
#> Arguments
#> ---------
#> image : ANTsImage
#> scalar image.
#>
#> noise_model : string
#> 'additivegaussian', 'saltandpepper', 'shot', or 'speckle'.
#>
#> noise_parameters : tuple or array or float
#> 'additivegaussian': (mean, standardDeviation)
#> 'saltandpepper': (probability, saltValue, pepperValue)
#> 'shot': scale
#> 'speckle': standardDeviation
#>
#> Returns
#> -------
#> ANTsImage
#>
#> Example
#> -------
#> >>> import ants
#> >>> image = ants.image_read(ants.get_ants_data('r16'))
#> >>> noise_image = ants.add_noise_to_image(image, 'additivegaussian', (0.0, 1.0))
#> >>> noise_image = ants.add_noise_to_image(image, 'saltandpepper', (0.1, 0.0, 100.0))
#> >>> noise_image = ants.add_noise_to_image(image, 'shot', 1.0)
#> >>> noise_image = ants.add_noise_to_image(image, 'speckle', 1.0)
#>
#> *** Above documentation is for Python.
#> *** Please use `$` instead of `.` for modules and functions in R
#> <function add_noise_to_image at 0x163af8360>
#> signature: (image, noise_model, noise_parameters)The following R code translates Python code into R:
# >>> img = ants.image_read(ants.get_ants_data('r16'))
img <- ants$image_read(ants$get_ants_data('r16'))
# >>> noise_image1 = ants.add_noise_to_image(img, 'additivegaussian', (0.0, 1.0))
noise_image1 <- ants$add_noise_to_image(
img, 'additivegaussian',
noise_parameters = tuple(0.0, 1.0)
)
# >>> noise_image2 = ants.add_noise_to_image(img, 'saltandpepper', (0.1, 0.0, 100.0))
noise_image2 <- ants$add_noise_to_image(
img, 'saltandpepper',
noise_parameters = tuple(0.1, 0.0, 100.0)
)
# >>> noise_image3 = ants.add_noise_to_image(img, 'shot', 1.0)
noise_image3 <- ants$add_noise_to_image(
img, 'shot',
noise_parameters = 1.0
)
# >>> noise_image4 = ants.add_noise_to_image(img, 'speckle', 1.0)
noise_image4 <- ants$add_noise_to_image(
img, 'speckle',
noise_parameters = 1.0
)
# >>> trans = ants.create_ants_transform(
# >>> dimension=2, matrix=[[0.707, 0.707], [-.707, 0.707]],
# >>> translation=[-53, 128])
trans <- as_ANTsTransform(matrix(
c(0.707, 0.707, -53,
-0.707, 0.707, 128),
nrow = 2, byrow = TRUE
), dimension = 2)
# >>> noise_image4 = trans.apply_to_image(noise_image4)
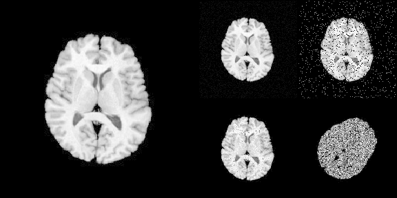
noise_image4 <- trans$apply_to_image(noise_image4)To load imaging data into R
# Use [] to convert ANTsImage into R array
is.array(img[])
#> [1] TRUE
# plot via R
layout(matrix(c(1,1,2,3,1,1,4,5), nrow = 2, byrow = TRUE))
par(mar = c(0.1, 0.1, 0.1, 0.1), bg = "black", fg = "white")
pal <- grDevices::gray.colors(256, start = 0, end = 1)
image(img[], asp = 1, axes = FALSE,
col = pal, zlim = c(0, 255), ylim = c(1, 0))
image(noise_image1[], asp = 1, axes = FALSE,
col = pal, zlim = c(0, 255), ylim = c(1, 0))
image(noise_image2[], asp = 1, axes = FALSE,
col = pal, zlim = c(0, 255), ylim = c(1, 0))
image(noise_image3[], asp = 1, axes = FALSE,
col = pal, zlim = c(0, 255), ylim = c(1, 0))
image(noise_image4[], asp = 1, axes = FALSE,
col = pal, zlim = c(0, 255), ylim = c(1, 0))
Python
scriptsrpyANTs ports functions that allows to run
Python scripts. For example:
library(rpyANTs)
script_path <- tempfile(fileext = ".py")
writeLines(con = script_path, text = r"(
# This is Python script
import ants
print(ants.__version__)
)")
run_script(script_path)
#> 0.5.4You can also run Python interactive in R (yes, you are
correct). Simply run
rpyANTs::repl_python()The console prefix will change from > to
>>>, meaning you are in Python
mode:
> rpyANTs::repl_python()
Python 3.8.16 (/Users/dipterix/Library/r-rpymat/miniconda/envs/rpymat-conda-env/bin/python3.8)
Reticulate 1.26 REPL -- A Python interpreter in R.
Enter 'exit' or 'quit' to exit the REPL and return to R.
>>>
Try some Python code!
>>> import ants
>>> help(ants.registration)
To exit Python mode, type exit (no parenthesis) and hit
enter key
>>> exit
>
Native R variables can be easily converted to Python and
back via r_to_py and py_to_r.
For example
# R to Python
r_to_py(1)
#> 1.0
r_to_py(1L)
#> 1
# Python to R
py_obj <- py_list(1:3)
class(py_obj) # <- this is a python object
#> [1] "python.builtin.list" "python.builtin.object"
py_to_r(py_obj)
#> [1] 1 2 3You can also use variables created in R from Python or vice versa:
In the following example, an R object object_r is
created. In Python, it can be accessed (read-only) via
r.object_r
> object_r <- c(1,2,3)
> repl_python()
Python 3.8.16 (/Users/dipterix/Library/r-rpymat/miniconda/envs/rpymat-conda-env/bin/python3.8)
Reticulate 1.26 REPL -- A Python interpreter in R.
Enter 'exit' or 'quit' to exit the REPL and return to R.
>>> r.object_r
[1.0, 2.0, 3.0]
Similarly, a Python object object_py is created, and it
can be read from py$object_py:
>>> import numpy as np
>>> object_py = np.array([2,3,4])
>>> exit
> py$object_py
[1] 2 3 4
R is not a type-rigid language. Some functions in ANTsPy
require specific variable types that are often vague in R. For example
the dimension argument in function
ants$create_ants_transform needs to be an integer, but R’s
default numerical values are double. In this case, variable
formats need to be explicitly given.
Here are several examples
# ants$create_ants_transform(dimension = 3) # <- error
ants$create_ants_transform(dimension = 3L) # < XXXL is an explicit integerTuple, list, and
dictionaryA Python tuple is a vector that cannot alter
lengths.
# Wrong as `aff_iterations` needs to be a tuple
# ants$registration(fixed, moving, ..., aff_iterations = c(6L, 4L, 2L, 1L))
ants$registration(fixed, moving, ..., aff_iterations = tuple(6L, 4L, 2L, 1L))Similar conversions can be done via py_list,
py_dict.
TRUE vs. FALSEA Python module can be imported with auto-conversion (argument
convert) set to TRUE or FALSE.
When auto-conversion is on, the Python function results will be
converted to R objects automatically. For example,
np <- import("numpy", convert = TRUE)
np$eye(4L)
#> [,1] [,2] [,3] [,4]
#> [1,] 1 0 0 0
#> [2,] 0 1 0 0
#> [3,] 0 0 1 0
#> [4,] 0 0 0 1The numpy array is automatically translated as an R
matrix. While this is convenient, this automated conversion could cause
some issues when the function results are further passed into another
Python function. For example, the following code will raise errors.
> np <- import("numpy", convert = TRUE)
> ants <- load_ants()
>
> image <- ants$image_read(ants$get_ants_data('mni'))
> image_array <- np$asarray(list(image, image))
>
> ants$plot_grid(image_array, slices = 100L)
Error in py_call_impl(callable, dots$args, dots$keywords) :
Matrix type cannot be converted to python (only integer, numeric, complex, logical, and character matrixes can be convertedThe error is raised because numpy has
convert=TRUE, hence image_array is converted
to an R list with each element being a ANTsImage instance.
Calling ants$plot_grid needs R-to-Python conversion for all
input variables, including image_array. However this
conversion makes image_array a Python list instead of
numpy array, violating the input format.
A safer way is to keep in the Python format,
i.e. convert=FALSE. In this mode, function results will not
be converted back to R (you need to manually make conversion by yourself
via py_to_r). Now the following example works.
> np <- import("numpy", convert = TRUE)
> ants <- load_ants()
>
> image <- ants$image_read(ants$get_ants_data('mni'))
> image_array <- np$asarray(list(image, image))
>
> ants$plot_grid(image_array, slices = 100L)Object
antsinrpyANTsis a non-conversion Python module. Objectpyis a auto-conversion Python module
In Python, operators on ANTsImage, such as
img > 5 are defined. Such operators is being supported
in R as S3 generic functions. Don’t worry if you don’t know
what is S3 generic, see the following examples:
library(rpyANTs)
image <- ants$image_read(ants$get_ants_data('mni'))
print(image)
dim(image)
range(image)
y1 <- (image > 10) * 8000
y2 <- image
y2[y2 < 10] <- 4000
y3 <- log(image + 1000)
y3 <- (y3 - min(y3)) / (max(y3) - min(y3)) * 8000
ants_plot_grid(
list(image, y1, y2, y3),
slices = 100, shape = c(1, 4),
vmin = 0, vmax = 8000
)
Although the operator generics have been implemented for common
classes such as ANTsImage and ANTsTransform.
Many are still under development and not supported. In this case, you
might want to use the following workaround methods. You are more than
welcome to post a wish-list or issue ticket to the Github
repository
Alternative version 1: call operators directly
library(rpyANTs)
image <- ants$image_read(ants$get_ants_data('r16'))
# The followings are the same
# threshold <- image > 10
threshold <- image$`__gt__`(10)
ants$plot(threshold)Work-around version 2: If you don’t know how Python operators work, use Python directly
library(rpyANTs)
image <- ants$image_read(ants$get_ants_data('r16'))
# Create an R variable from Python!
py_run_string("r.threshold = r.image > 10", local = TRUE, convert = FALSE)
ants$plot(threshold)This is a general citation for ANTs:
Avants, B.B., Tustison, N. and Song, G., 2009. Advanced normalization tools (ANTS). The Insight Journal, 2(365), pp.1-35.
If you are using rpyANTs through RAVE or
YAEL, please also cite:
Magnotti, J.F., Wang, Z. and Beauchamp, M.S., 2020. RAVE: Comprehensive open-source software for reproducible analysis and visualization of intracranial EEG data. NeuroImage, 223, p.117341.
This package rpyANTs is released under Apache-2.0
license (Copyright: Zhengjia Wang). The underlying ANTsPy
is released under Apache-2.0 license (Copyright: ANTs contributors).